Unable to display view head.php file not found.
« Prev
Next »
 
 

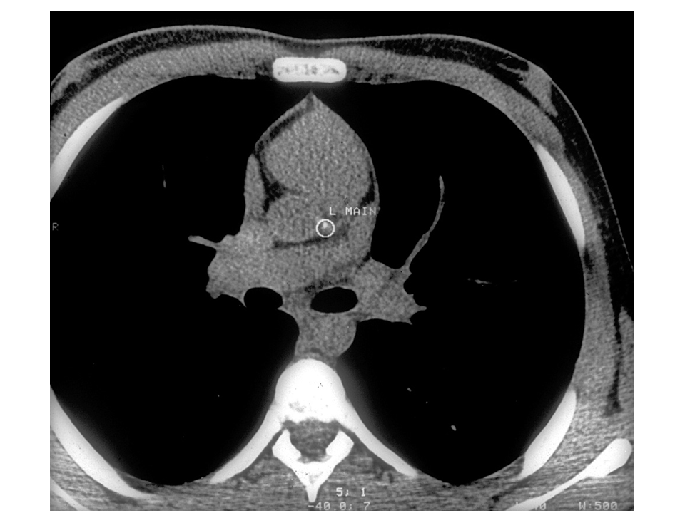
Gidding - Figure 3 - CT calcium scan

This Figure is a computerized tomography (CT) scan of a 14-year old child whose father had FH and had a heart attack at age 27. This particular teenager had a total cholesterol level of 429 mg/dL, an HDL cholesterol level of 27 mg/dL, and as can be seen in the Figure, coronary calcium in the left main coronary artery. In other words, already by the age of 14, this child has evidence of significant atherosclerosis – which serves as an excellent example of the importance of the new FNLA recommendations for recognizing and treating FH in children.

Gidding S. J Clin Lipidol. 2011; 5(6).
Unable to display view foot.php file not found.